Perfekter Zahnersatz preiswert aus München eigenes Zahnlabor
perfekter preiswerter Zahnersatz
Guter perfekter preiswerter Zahnersatz sollte nicht gleich auf den ersten Blick erkennbar sein, daher ist es optimal wenn ein Zahntechniker direkt vor Ort ist. Der neu hergestellte Zahnersatz kann direkt beim Einsetzen angepasst und eventuell korrigiert und charakterisiert werden. Guter Zahnersatz ist enorm wichtig, sobald Zähne fehlen oder Zahnsubstanz nicht mehr mit Kunststoff repariert werden kann. Da Zahnersatz nicht ganz billig ist, sollte man sich vorher genau über alles erkundigen. Man will schließlich nachher genau den Zahnersatz bekommen, mit dem man dann lange Zeit zufrieden beißen kann. Heute stellt die Krankenkassenversorgung bereits hohe Ansprüche in Punkto Qualität und Langlebigkeit des Zahnersatzes. Viele Patienten wünschen darüber hinaus komfortable und oft auch möglichst ästhetische Lösungen für Ihren Zahnersatz.
moderner digitaler Zahnersatz
Von der Kasse werden alle werden derzeitigen erprobten Zahnersatz Methoden anerkannt und bezuschusst. Sprechen sie mit uns, wir bieten alle nahezu alle derzeitig bekannten Techniken einfach aber auch luxuriös und auch modernen computergesteuerten digital CAD CAM erzeugter Zahnersatz aus Zirkon. Alle technischen Arbeiten wie Zahnersatz-Reparaturen Zahnkronen aus Zirkon Zahnbrücken Prothesen herausnehmbarer Zahnersatz, Implantat-Zahnersatz, unterliegen dadurch ständiger Qualitätskontrolle durch die Zahnärzte und Zahnärztinnen. Ausschließlich im eigenen Labor (3 Zahn-Techniker) in passgenauer deutscher Qualität hergestellter Zahnersatz kommt in Ihren Mund. Wenn Sie eine Lösung wählen, die Ihnen im Moment zu teuer scheint, - sprechen Sie mit uns, gerne ermöglichen wir auch Zahlung in kleinen Raten direkt bei uns, die bessere Lösung. Oft finden Sie erst in einem Gespräch die Unterschiede und Vorzüge von verschieden Arten des preiswerten Zahnersatzes sowie den Preisunterschied verschiedener Lösungen heraus die für Sie in Frage kommen. Holen Sie sich gern bei uns auch eine zweite Meinung wenn Sie noch nicht ganz überzeugt von einem Zahnersatz Angebot sind.
Beratung Zahnersatz
Beratungzu Zahnersatz erfolgt kostenlos bei Zahnarzt München. Zahnersatz ist Vertrauenssache. Machen sie sich selbst ein Bild in unserer Zahnarztpraxis Zahnarzt München fragen Sie nach den Kosten und entscheiden Sie sich dann.

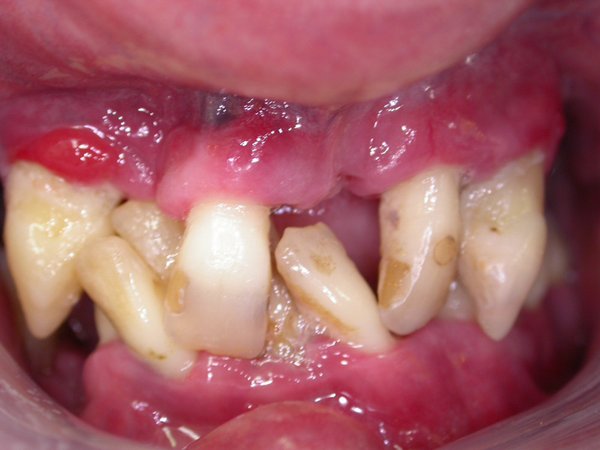
Selbst in diesem Fall konnte mit Zahnersatz geholfen werden. Der Patient gab an durch meine Bilder im Internet Vertrauen gefasst zu haben, die er erst mal 3Monate jeden Tag ansah. Er sagte er schämte sich zum Zahnarzt zu gehen bis er im Internet sah, dass auch andere ähnliche Probleme wie er hätten - die Bilder machten Ihm Mut obwohl er Angstpatient war. Die Lösung mit herausnehmbaren Zahnersatz blieb sogar unter 1000 EUR Selbstbeteiligung.
. 
perfekte Zähne - keine Probleme
preiswerter perfekter Zahnersatz Übersicht Dr. Junk München Zahnarzt.
klicke Bilder unserer Zahnärztinnen und Zahnärzte
Klicken Sie auf die Bilder
rufen Sie jetzt gleich an - tägl. Mo-Fr 7.30 - 18h
Tel: +49 (0)89 431 12 12
Zahnärzte: Dr. Bernhard Junk, ZA.Richard Forster
ZÄ. Heayeon Lee, ZÄ. Johanna Egger
ZÄ. Dr. Indra Nyamaa,
privat und alle Kassen
Baumkirchner Str. 18
81673 München Berg am Laim Trudering
Zahnarzt@-Mail Termine nur mit Telefon Rückruf möglich
wir bitte um rechtzeitige telefonische Absage von Terminvereinbarungen damit wir die abgesagte Zeit für andere Patienten einplanen können. Danke
Schmerztermine am gleichen Tag
Zahnersatz-Reparaturen bitte bis 9.30 anmelden

Formular gleich ausfüllen ausdrucken und mitbringen spart Zeit.
mit allen Aufklärungsseiten Zahnarzt München
Minimalinvasives Schmerzarmes Zahnimplantat München
Zahnersatz - Ästhetische Zahnfüllungen
- Alterszahnheilkunde - Paradontologie -
Wurzelbehandlung
Wir zaubern schöne Zähne mit Hightech Zahnmedizin und Zahn - Labor Ausstattung - alles aus einer Hand
Der Zahnarzt am Marktplatz in Berg am Laim gut erreichbar auch aus Trudering, Waldtrudering und Bogenhausen.
Finden Sie in unserer Praxis was Sie nirgendwo sonst finden können.
Leistungsspektrum
Liebe Freunde gesunder Zähne besuchen Sie mit Ihrer Familie unsere frisch renovierte seit 50 Jahren alteingesessene Zahnarztpraxis 5 Zahnärzte und 4 Zahntechniker und 20 Mitarbeiter arbeiten bei Zahnarzt München in Berg am Laim und Trudering auf 400 m2. Alle Spezial Bereiche der Zahnmedizin ganzjährig täglich außer Wochenende Behandlungen auch zu Urlaubszeiten, Freitag Nachmittags und für Frühaufsteher schon ab 7.30. Wir kümmern uns von Anfang an, um alle Ihre Zahnprobleme und Ihre Zahngesundheit.
Eigenes Zahnarztpraxis Zahnlabor garantiert: Folgeservice für Ihren wertvollen Zahnersatz. Schnell-Prothesenreparatur: Zahnersatz-Reparaturen können fast immer innerhalb von Stunden durchgeführt werden.
Besser als Raten: modernes 3D Röntgen: gleich direkt in der Zahnarztpraxis.
Ästhetische metallfreie implantatgetragene High Tech Voll- Zirkonkronen:(weniger Abplatzungen).
individuelle Titanabutments: mit modernsten Zirkonfräsen selbst hergestellt für perfekte Anpassung der Implantatkronen an das Zahnfleisch.
Wir erhalten gerne Ihre gesunden Zähne, bei Zahnverlust sofortiger Ersatz der Zahnwurzel durch ein Sofortimplantation. Schmerzarm durch minimalinvasive Technik Vorteil: Minimalinvasive schmerzarme Zahnimplantat Operationen von Zahnarzt München benötigen oft keinen teuren Knochenaufbau.
Vorhersehbare Preise: Zahnimplantat(deutscher Hersteller) inklusive 3 D Röntgen (DVT)ab nur 1150 EUR jedes weitere sogarab nur 950 EUR.
Vor jeder Arbeit werden die genauen Kosten mitgeteilt.
Damit Ihre Zähne gar nicht erst defekt werden, reinigt ein fleißiges Prophylaxe Team Ihre Zähne mit sanftem Pulverstrahl und Polierbürste.
Auf Wunsch erfolgt Erinnerung durch Recallservice erhalten Sie Ihr Zahnfleisch gesund und schützten damit Ihre wertvollen Versorgungen, auch wenn diese anderswo erstellt wurden. Für alle Arten der Zahnbehandlung sind Zahnärzte und Spezialisten vor Ort. Alle Belange des Zahnes wie Vorsorge Reinigung Zahnfüllung Krone Extraktion und herausnehmbare Prothese bzw. minimalinvasives Zahnimplantat werden vor Ort in unseren Zahnarztpraxis Räumen in München durchgeführt. Ihr Ansprechpartner bleibt somit immer ausschließlich unsere Zahnarztpraxis.
Unser
Praxis Zahnlabor hält die modernsten Methoden für alles vor Ort bereit. Wir können daher
Zahnersatz sofort anzupassen zu reparieren oder reinigen. 3 Zahntechniker kümmern sich um Ihren Zahnersatz. Eingehende Beratung medizinisch aber auch bezüglich der Kosten ist selbstverständlich. Auf Grund des großen Arbeitsaufgebots können wir teilweise sehr ergonomisch arbeiten und deshalb in vielen Fällen preislich günstiger sein, somit sparen Sie nicht nur eine Menge Zeit sondern vielleicht auch Geld.- Es lohnt sich bei uns eine unverbindliche Zweitmeinung zu holen. Die Beratung erfolgt üblicherweise kostenlos
Lexikon Web - Seite
Ich hoffe vieler ihrer Fragen zum Thema Zahnarzt können hier schon vorab durch Multimedia Beiträge und Fallbeispiele beantwortet werden. In unserer Zahnarzt Sprechstunde in München erklären wir oft mit Inhalten dieser Homepage unsere zahnärztlichen Maßnahmen. Zu Hause können Sie jetzt nochmals nachschauen und besser Entscheidungen für Ihre Zähne treffen. Die Homepage von Zahnarzt München wird kritisiert dafür, dass Bilder aus der Zahnarztpraxis München viel zu realistisch sind. Bitte Klicken sie nicht wenn Sie realistische Bilder aus dem Mundbereich nicht ertragen können oder wollen. Ein realistisches Bild sagt aber mehr als 1000 schöne Logos. Wenn ich selbst einen Arzt suche, will ich am Liebsten so viel wie möglich über mein Problem und seine Lösung durch die Zahnmedizin wissen. Meine Patienten schätzen es, auch nach oder vor der Sprechstunde, nochmals die Info auf Zahnarzt München nachzuschauen. Manche mailen unter praxis@de-junk.de Fragen an den Autor die in den FAQ beantwortet werden. Dort lohnt es sich auch mal schon vorab nachzuschauen, ob nicht ein anderer schon ähnliche Zahnprobleme hatte. Erweitern Sie Ihr Zahn-Wissen besuchen Sie uns jetzt gleich schon virtuell - stellen Sie dazu Fragen zu Zahnersatz Alterszahnheilkunde Zahnverschönerungen Zahnfleischproblemen Zahnschmerzen direkt in der Sprechstunde. Klicken Sie in unser gut bebildertes Praxislexikon oben in der Navigationsbar mit Fallbeispielen aus der Zahnarztpraxis. - schmerzarm bezahlbar -

















