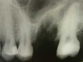
Mundhöhlen - Kieferhöhlenverbindung nach Extraktion MAV
schelle Hilfe bei Zahnarzt München wenn einmal nach einer Zahnextraktion die Kieferhöhle zum Mund offen ist.
Auf dem Röntgenbild kann man vermuten, dass er extrahierte Zahn in die Kieferhöhle ragte
Die Kieferhöhle hat eine große Verbindung zur Mundhöhle über das Zahnloch
Um das große Extraktionsloch zu decken wird Schleimhaut aus der benachbarten Umgebung wegpräpariert geschwenkt (Lappenbildung)
und über der Wunde zugenäht, dass ein dichter Verschluss entsteht.
Mundhöhlen - Kieferhöhlenverbindung nach Extraktion MAV:
Leider können immer wieder vorhergesehene und unvorhergesehene Komplikationen auftreten. So z.B. kann bei einer Extraktion im Oberkiefer die Wurzel des Zahnes in die Kieferhöhle ragen (siehe Risiko). Wegen der Zweidimensionalität des Röntgenbildes kann man eine Eröffnung nicht sicher vorhersagen oder man müsste vorher ein DVT anfertigen. Nach der Extraktion eines verdächtigen Zahnes wird ein Nasenblastest durchgeführt. D.h. der Patient bläst in seine Nase wie beim Schnäuzen hält sich dabei die Nase luftdicht zu. Wenn nun Luft durch das Extraktionsloch blubbert, so ist die Kieferhöhle zur Mundhöhle geöffnet. Selbstverständlich muss diese dann verschlossen werden. In den nächsten Tagen darf man dann nicht Schnäuzen um die Naht nicht zu belasten. Schon bald ist nach richtiger Behandlung die Wunde ausgeheilt und die Kieferhöhle wieder dicht. Falls schon eine Kieferhöhlenentzündung besteht sollte man gleichzeitig zur Abheilung Antibiotika einnehmen. Man erzielt dadurch eine schnellere Abheilung und vermeidet dass die Kieferhöhle "chronisch" wird.
Zahnarzt Mümchen Nahtverschluss einer geöffneten Kieferhöhle nach Zahnextraktion
klicke Bilder unserer Zahnärztinnen und Zahnärzte
Klicken Sie auf die Bilder
rufen Sie jetzt gleich an - tägl. Mo-Fr 7.30 - 18h
Tel: +49 (0)89 431 12 12
Zahnärzte: Dr. Bernhard Junk, ZA.Richard Forster
ZÄ. Heayeon Lee, ZÄ. Johanna Egger
ZÄ. Dr. Indra Nyamaa,
privat und alle Kassen
Baumkirchner Str. 18
81673 München Berg am Laim Trudering
Zahnarzt@-Mail Termine nur mit Telefon Rückruf möglich
wir bitte um rechtzeitige telefonische Absage von Terminvereinbarungen damit wir die abgesagte Zeit für andere Patienten einplanen können. Danke
Schmerztermine am gleichen Tag
Zahnersatz-Reparaturen bitte bis 9.30 anmelden

Formular gleich ausfüllen ausdrucken und mitbringen spart Zeit.
mit allen Aufklärungsseiten Zahnarzt München
Minimalinvasives Schmerzarmes Zahnimplantat München
Zahnersatz - Ästhetische Zahnfüllungen
- Alterszahnheilkunde - Paradontologie -
Wurzelbehandlung
Wir zaubern schöne Zähne mit Hightech Zahnmedizin und Zahn - Labor Ausstattung - alles aus einer Hand
Der Zahnarzt am Marktplatz in Berg am Laim gut erreichbar auch aus Trudering, Waldtrudering und Bogenhausen.
Finden Sie in unserer Praxis was Sie nirgendwo sonst finden können.
Leistungsspektrum
Liebe Freunde gesunder Zähne besuchen Sie mit Ihrer Familie unsere frisch renovierte seit 50 Jahren alteingesessene Zahnarztpraxis 5 Zahnärzte und 4 Zahntechniker und 20 Mitarbeiter arbeiten bei Zahnarzt München in Berg am Laim und Trudering auf 400 m2. Alle Spezial Bereiche der Zahnmedizin ganzjährig täglich außer Wochenende Behandlungen auch zu Urlaubszeiten, Freitag Nachmittags und für Frühaufsteher schon ab 7.30. Wir kümmern uns von Anfang an, um alle Ihre Zahnprobleme und Ihre Zahngesundheit.
Eigenes Zahnarztpraxis Zahnlabor garantiert: Folgeservice für Ihren wertvollen Zahnersatz. Schnell-Prothesenreparatur: Zahnersatz-Reparaturen können fast immer innerhalb von Stunden durchgeführt werden.
Besser als Raten: modernes 3D Röntgen: gleich direkt in der Zahnarztpraxis.
Ästhetische metallfreie implantatgetragene High Tech Voll- Zirkonkronen:(weniger Abplatzungen).
individuelle Titanabutments: mit modernsten Zirkonfräsen selbst hergestellt für perfekte Anpassung der Implantatkronen an das Zahnfleisch.
Wir erhalten gerne Ihre gesunden Zähne, bei Zahnverlust sofortiger Ersatz der Zahnwurzel durch ein Sofortimplantation. Schmerzarm durch minimalinvasive Technik Vorteil: Minimalinvasive schmerzarme Zahnimplantat Operationen von Zahnarzt München benötigen oft keinen teuren Knochenaufbau.
Vorhersehbare Preise: Zahnimplantat(deutscher Hersteller) inklusive 3 D Röntgen (DVT)ab nur 1150 EUR jedes weitere sogarab nur 950 EUR.
Vor jeder Arbeit werden die genauen Kosten mitgeteilt.
Damit Ihre Zähne gar nicht erst defekt werden, reinigt ein fleißiges Prophylaxe Team Ihre Zähne mit sanftem Pulverstrahl und Polierbürste.
Auf Wunsch erfolgt Erinnerung durch Recallservice erhalten Sie Ihr Zahnfleisch gesund und schützten damit Ihre wertvollen Versorgungen, auch wenn diese anderswo erstellt wurden. Für alle Arten der Zahnbehandlung sind Zahnärzte und Spezialisten vor Ort. Alle Belange des Zahnes wie Vorsorge Reinigung Zahnfüllung Krone Extraktion und herausnehmbare Prothese bzw. minimalinvasives Zahnimplantat werden vor Ort in unseren Zahnarztpraxis Räumen in München durchgeführt. Ihr Ansprechpartner bleibt somit immer ausschließlich unsere Zahnarztpraxis.
Unser
Praxis Zahnlabor hält die modernsten Methoden für alles vor Ort bereit. Wir können daher
Zahnersatz sofort anzupassen zu reparieren oder reinigen. 3 Zahntechniker kümmern sich um Ihren Zahnersatz. Eingehende Beratung medizinisch aber auch bezüglich der Kosten ist selbstverständlich. Auf Grund des großen Arbeitsaufgebots können wir teilweise sehr ergonomisch arbeiten und deshalb in vielen Fällen preislich günstiger sein, somit sparen Sie nicht nur eine Menge Zeit sondern vielleicht auch Geld.- Es lohnt sich bei uns eine unverbindliche Zweitmeinung zu holen. Die Beratung erfolgt üblicherweise kostenlos
Lexikon Web - Seite
Ich hoffe vieler ihrer Fragen zum Thema Zahnarzt können hier schon vorab durch Multimedia Beiträge und Fallbeispiele beantwortet werden. In unserer Zahnarzt Sprechstunde in München erklären wir oft mit Inhalten dieser Homepage unsere zahnärztlichen Maßnahmen. Zu Hause können Sie jetzt nochmals nachschauen und besser Entscheidungen für Ihre Zähne treffen. Die Homepage von Zahnarzt München wird kritisiert dafür, dass Bilder aus der Zahnarztpraxis München viel zu realistisch sind. Bitte Klicken sie nicht wenn Sie realistische Bilder aus dem Mundbereich nicht ertragen können oder wollen. Ein realistisches Bild sagt aber mehr als 1000 schöne Logos. Wenn ich selbst einen Arzt suche, will ich am Liebsten so viel wie möglich über mein Problem und seine Lösung durch die Zahnmedizin wissen. Meine Patienten schätzen es, auch nach oder vor der Sprechstunde, nochmals die Info auf Zahnarzt München nachzuschauen. Manche mailen unter praxis@de-junk.de Fragen an den Autor die in den FAQ beantwortet werden. Dort lohnt es sich auch mal schon vorab nachzuschauen, ob nicht ein anderer schon ähnliche Zahnprobleme hatte. Erweitern Sie Ihr Zahn-Wissen besuchen Sie uns jetzt gleich schon virtuell - stellen Sie dazu Fragen zu Zahnersatz Alterszahnheilkunde Zahnverschönerungen Zahnfleischproblemen Zahnschmerzen direkt in der Sprechstunde. Klicken Sie in unser gut bebildertes Praxislexikon oben in der Navigationsbar mit Fallbeispielen aus der Zahnarztpraxis. - schmerzarm bezahlbar -

















