warum minimalinvasives Sofortimplantat als Zahnimplantat ?

minimalinvasives Sofortimplantat als Zahnimplantat meist ohne Knochenaufbau
- schnellere Heilung 0 Probleme
- schöneres Ergebnis Zahnfleischverlauf
- preisgünstig
- Videos von life OPs und Interviews von Patienten mit Sofortimplantaten -
Wann und wie: minimalinvasive Sofortimplantate als Zahnimplantate ?
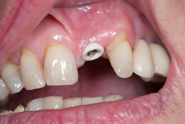
- minimalinvasives Sofortimplantat ist viel schmerzärmer besser und preiswerter als herkömmliche klassische Zahnimplantate! Minimalinvasive OP Techniken ohne Schnitte! Dadurch fast keine Schmerz und Schwellungen. 6-8 Wochen nach einer Zahnextraktion mit gleichzeitiger Sofortimplantation (10-12 Wochen bei Rauchern) ist das Zahnimplantat fest in den Kiefer gewachsen. In unserer Praxis führen wir ein deutsches minimalinvasive Implantatsystem Champions das mit ziemlicher Sicherheit (96%) zum Erfolg führt. Minimalinvasive Zahnimplantate Sofortimplantate benötigen nur eine Operation. Das blutige Eröffnen des Zahnfleisches um die Operationsregion entfällt. Das minimalinvasives Zahnimplantat ist natürlich auch bei bereits vorausgegangener verheilter Zahnextraktion möglich, besser aber wäre den Zahn während der gleichen Behandlung zu extrahieren und zu implantieren. Die Heilung erfolgt wesentlich schneller.
- Versorgung mit Zahnersatz: Das zweiteilige Zahnimplantat wird mit einer Zirkon Krone versorgt. Bei mehreren Implantaten bis zum vollständigen Ersatz aller Zähne ist eine Zahnbrücke aus Zirkon möglich.
- Preise:Das Sofortimplantat bietet durch das unkomplizierte Verfahren sogar einen Preisvorteil. Sofortimplantate kosten im Vergleich zu den zweizeitigen Zahnimplantaten statt über 2000 Euro nur ca. ab 1100 Euro bei Zahnarzt München. Bei uns bekommen Sie immer eine genaue Preisangabe vor jeder Behandlung.
Bei Selbstzahlern ohne Versicherung ist auch ein all inklusive FIX Preis damit meine ich vorher laut Situation vereinbarter fester Preis ab 1150 Euro für das erste und ab 950 Euro für jedes weitere Zahnimplantat möglich. Wird dieser Fix Preis vereinbart, werden auch bei unvorhergesehen Umständen keine Erhöhungen des Preises fällig. Oft können wir bei Sofortimplantaten eine Einheilgarantie abgeben d.h. bei Implantatverlust ohne Unfall innerhalb von 2 Jahren bei entsprechender Mundhygiene erhalten Sie gratis eine Neuimplantation inklusive Versorgung.
- Das ist, was viele Menschen am meisten interessiert. Ich möchte Ihnen deshalb gerne einen Patienten vorstellen, der beides erlebt hat. Dieser Patient hatte auch ein klassisches Implantat bekommen.
-
Patient: In erster Linie hatte ich Angst vor Schmerzen und hohen Rechnungen beides war Gott sei Dank unbegründet. Nicht nur dass meine Zahnlücken schon bald geschlossen waren, auch von der Operation habe ich fast nichts mitbekommen. Der Herr Doktor hat mir nach der Operation ein gutes Schmerzmittel gegeben, so dass ich wohl zu den Fällen gehöre, die überhaupt nichts davon mitbekommen. Schon während der Operation verflog meine Angst, da gar nicht viel passierte. Hinterher erging es mir so gut, dass ich mich sogar ein paar Stunden später auf dem Oktoberfest wiederfand. Schade, dass es dieses Verfahren nicht schon früher gab. Ich weiß, wovon ich spreche, denn im Unterkiefer habe ich vor einigen Jahren ein Klassisches Zahnimplantat bekommen. Deshalb würde ich heute die Sofortimplantate bzw.. Minimalinvasive Zahnimplantate in jedem Falle vorziehen. Es gab kein Blut, und nur kurze Abheilzeit, ich konnte die Zähne schon nach 8 Wochen benutzen und sogar der Preis war besser.
- Warum ich ein minimalinvasives Sofortimplantat bei mir selbst wagte. Jahrelang wagte ich es nicht meinen 7er links oben der 1986 wurzelbehandelt wurde, durch ein Zahnimplantat auszutauschen. Immer wieder quälte mich der Zahn, verursachte Kieferhöhlenentzündung Ohrenschmerzen schlechte Gerüche. 5 mal stand meine Entscheidung zur Extraktion fest. Genau dann ließen aber immer die Beschwerden plötzlich nach. Als ich dann 2010 viel im Internet über Sofortimplantation nachlas, fasste ich den Entschluss und Herr Forster extrahierte meinen Zahn und setzte sofort ein Zahnimplantat in einer Sitzung. So konnte ich am eigenen Körper erleben, wie im Vergleich zur klassischen Implantologie das Sofortimplantat schnell und problemlos nahezu beschwerdefrei einheilte. Nachdem die minimalinvasive Sofortimplantation erfolgreich an mir selbst ausprobiert war, und mein neues Zahnimplantat keine Probleme bereitete. Seitdem versorge ich fast alle meiner Patienten mit dieser schonenden minimalinvasiven Methode mit Zahnimplantaten. Mit dieser preisgünstigen Methode kann man oft auch alle Zähne in einem Kiefer versorgen.
- Unter http://mundgesund.eu kann man über Gefahren die von toten Zähnen ausgehen nachlesen. Schlechte Zähne haben enorme Auswirkungen auf den gesamten Organismus. Nach Ihrer Behandlung stellen sich oft erstaunliche Verbesserungen des Allgemeinwohls ein. Gerade herzklappen und Gelenke leiden unter Bakterien im Körper.
Wie fühlt man sich nach einer Zahnimplantation?
Zahnarzt Dr. Junk selbst als Patient:
Gefahren bakterieller Herde von Zähnen ausgehend
Vor und Nachteile von Zahnimplantat Sofortimplantat Wurzelbehandlung - Patient und Arbeit von Zahnarzt München Dr. Bernhard Junk
klicke Bilder unserer Zahnärztinnen und Zahnärzte
Klicken Sie auf die Bilder
rufen Sie jetzt gleich an - tägl. Mo-Fr 7.30 - 18h
Tel: +49 (0)89 431 12 12
Zahnärzte: Dr. Bernhard Junk, ZA.Richard Forster
ZÄ. Heayeon Lee, ZÄ. Johanna Egger
ZÄ. Dr. Indra Nyamaa,
privat und alle Kassen
Baumkirchner Str. 18
81673 München Berg am Laim Trudering
Zahnarzt@-Mail Termine nur mit Telefon Rückruf möglich
wir bitte um rechtzeitige telefonische Absage von Terminvereinbarungen damit wir die abgesagte Zeit für andere Patienten einplanen können. Danke
Schmerztermine am gleichen Tag
Zahnersatz-Reparaturen bitte bis 9.30 anmelden

Formular gleich ausfüllen ausdrucken und mitbringen spart Zeit.
mit allen Aufklärungsseiten Zahnarzt München
Minimalinvasives Schmerzarmes Zahnimplantat München
Zahnersatz - Ästhetische Zahnfüllungen
- Alterszahnheilkunde - Paradontologie -
Wurzelbehandlung
Wir zaubern schöne Zähne mit Hightech Zahnmedizin und Zahn - Labor Ausstattung - alles aus einer Hand
Der Zahnarzt am Marktplatz in Berg am Laim gut erreichbar auch aus Trudering, Waldtrudering und Bogenhausen.
Finden Sie in unserer Praxis was Sie nirgendwo sonst finden können.
Leistungsspektrum
Liebe Freunde gesunder Zähne besuchen Sie mit Ihrer Familie unsere frisch renovierte seit 50 Jahren alteingesessene Zahnarztpraxis 5 Zahnärzte und 4 Zahntechniker und 20 Mitarbeiter arbeiten bei Zahnarzt München in Berg am Laim und Trudering auf 400 m2. Alle Spezial Bereiche der Zahnmedizin ganzjährig täglich außer Wochenende Behandlungen auch zu Urlaubszeiten, Freitag Nachmittags und für Frühaufsteher schon ab 7.30. Wir kümmern uns von Anfang an, um alle Ihre Zahnprobleme und Ihre Zahngesundheit.
Eigenes Zahnarztpraxis Zahnlabor garantiert: Folgeservice für Ihren wertvollen Zahnersatz. Schnell-Prothesenreparatur: Zahnersatz-Reparaturen können fast immer innerhalb von Stunden durchgeführt werden.
Besser als Raten: modernes 3D Röntgen: gleich direkt in der Zahnarztpraxis.
Ästhetische metallfreie implantatgetragene High Tech Voll- Zirkonkronen:(weniger Abplatzungen).
individuelle Titanabutments: mit modernsten Zirkonfräsen selbst hergestellt für perfekte Anpassung der Implantatkronen an das Zahnfleisch.
Wir erhalten gerne Ihre gesunden Zähne, bei Zahnverlust sofortiger Ersatz der Zahnwurzel durch ein Sofortimplantation. Schmerzarm durch minimalinvasive Technik Vorteil: Minimalinvasive schmerzarme Zahnimplantat Operationen von Zahnarzt München benötigen oft keinen teuren Knochenaufbau.
Vorhersehbare Preise: Zahnimplantat(deutscher Hersteller) inklusive 3 D Röntgen (DVT)ab nur 1150 EUR jedes weitere sogarab nur 950 EUR.
Vor jeder Arbeit werden die genauen Kosten mitgeteilt.
Damit Ihre Zähne gar nicht erst defekt werden, reinigt ein fleißiges Prophylaxe Team Ihre Zähne mit sanftem Pulverstrahl und Polierbürste.
Auf Wunsch erfolgt Erinnerung durch Recallservice erhalten Sie Ihr Zahnfleisch gesund und schützten damit Ihre wertvollen Versorgungen, auch wenn diese anderswo erstellt wurden. Für alle Arten der Zahnbehandlung sind Zahnärzte und Spezialisten vor Ort. Alle Belange des Zahnes wie Vorsorge Reinigung Zahnfüllung Krone Extraktion und herausnehmbare Prothese bzw. minimalinvasives Zahnimplantat werden vor Ort in unseren Zahnarztpraxis Räumen in München durchgeführt. Ihr Ansprechpartner bleibt somit immer ausschließlich unsere Zahnarztpraxis.
Unser
Praxis Zahnlabor hält die modernsten Methoden für alles vor Ort bereit. Wir können daher
Zahnersatz sofort anzupassen zu reparieren oder reinigen. 3 Zahntechniker kümmern sich um Ihren Zahnersatz. Eingehende Beratung medizinisch aber auch bezüglich der Kosten ist selbstverständlich. Auf Grund des großen Arbeitsaufgebots können wir teilweise sehr ergonomisch arbeiten und deshalb in vielen Fällen preislich günstiger sein, somit sparen Sie nicht nur eine Menge Zeit sondern vielleicht auch Geld.- Es lohnt sich bei uns eine unverbindliche Zweitmeinung zu holen. Die Beratung erfolgt üblicherweise kostenlos
Lexikon Web - Seite
Ich hoffe vieler ihrer Fragen zum Thema Zahnarzt können hier schon vorab durch Multimedia Beiträge und Fallbeispiele beantwortet werden. In unserer Zahnarzt Sprechstunde in München erklären wir oft mit Inhalten dieser Homepage unsere zahnärztlichen Maßnahmen. Zu Hause können Sie jetzt nochmals nachschauen und besser Entscheidungen für Ihre Zähne treffen. Die Homepage von Zahnarzt München wird kritisiert dafür, dass Bilder aus der Zahnarztpraxis München viel zu realistisch sind. Bitte Klicken sie nicht wenn Sie realistische Bilder aus dem Mundbereich nicht ertragen können oder wollen. Ein realistisches Bild sagt aber mehr als 1000 schöne Logos. Wenn ich selbst einen Arzt suche, will ich am Liebsten so viel wie möglich über mein Problem und seine Lösung durch die Zahnmedizin wissen. Meine Patienten schätzen es, auch nach oder vor der Sprechstunde, nochmals die Info auf Zahnarzt München nachzuschauen. Manche mailen unter praxis@de-junk.de Fragen an den Autor die in den FAQ beantwortet werden. Dort lohnt es sich auch mal schon vorab nachzuschauen, ob nicht ein anderer schon ähnliche Zahnprobleme hatte. Erweitern Sie Ihr Zahn-Wissen besuchen Sie uns jetzt gleich schon virtuell - stellen Sie dazu Fragen zu Zahnersatz Alterszahnheilkunde Zahnverschönerungen Zahnfleischproblemen Zahnschmerzen direkt in der Sprechstunde. Klicken Sie in unser gut bebildertes Praxislexikon oben in der Navigationsbar mit Fallbeispielen aus der Zahnarztpraxis. - schmerzarm bezahlbar -
















