Vorteile Sofortimplantate - minimalinvasive Zahnimplantate
Knochenverdichtung Sofortimplantatsystem München
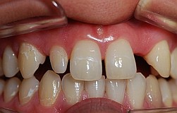
klicke auch Sofortimplantation München
Warum Sofortimplantate?
Welche Vorteile ergeben sich aus der Verwendung von minimalinvasiven
Sofortimplantaten von Dr. Junk München ?Die Wurzeln frisch gezogener Zähne können durch Sofortimplantate als minimalinvasive Zahnimplantate sofort versorgt werden. Zahnimplantate sind außerdem weniger empfindlich gegenüber Zahnfleischentzündungen und vollständig resistent gegenüber Karies. Ein gut eingewachsenes Zahnimplantat ist deshalb oft langlebiger als ein natürlicher Zahn. Sofortimplantate werden durch eine unblutige und unkomplizierte Operation direkt nach der Extraktion des Zahnes eingesetzt. Sofortimplantate gibt es seit vielen Jahren. Mit Sofortimplantaten kann man einen erlittenen Zahnverlust sofort bzw. nach 6 Wochen Einheilzeit wieder gutmachen. Sofortimplantate ersparen fast immer Knochenaufbau und beschleunigen das Heilen einer Extratkionswunde. Das unkomplizierte Verfahren führt sogar zu einem Preisvorteil. Sie kosten in einfachen Fällen 1150 EUR für jedes weitere 950 EUR, also weniger als Zahnimplantate aus dem Ungarnurlaub. Und außerdem, wenn im Urlaub etwas passiert, wer wünscht sich dann nicht sofort zurück nach Hause für die Behandlung. Das Prinzip der Sofortimplantate: Mit einem sehr kleinen rotierenden Verdichter statt einem Bohrer, wird im Kiefer ein sehr kleines Implantatbett erzeugt. Der Verdichter, drückt den verdrängten Knochen in die naheliegende Umgebung. Es erfolgt somit kein Verlust des wertvollen Knochens, der Knochen wird nicht herausgebohrt, sondern verbleibt zur Stabilisierung, dort wo er für den Halt gebraucht wird. Dadurch sind die sofortige Belastung und Benutzung möglich. Das Sofortimplantat selbst ist so konstruiert, dass es beim Einsetzen den Knochen abermals verdichtet und sich optimal einklemmt. Nach ca. 6 Wochen ist das Implantat fest vom Kieferknochen angenommen Dank der vorausgegangenen Knochenverdichtung.
Minimalinvasive Zahnimplantate
Auch nach Abheilung einer Extraktionswunde kann man das Verfahren anwenden. Auf Grund der langen Erfahrung der Zahnärzte und 3 dimensionalem Röntgen, wird das Zahnfleisch nicht weggeklappt (dh. skalpellfreie OP ohne Schnitte) sondern das Zahnimplantat minimalinvasiv direkt durch das Zahnfleisch implantiert. Beim Eindrehen wird das Zahnfleisch wie ein Gummi gedehnt und spannt sich dann später fest um das Implantat wo es sofort gut gegen die Umgebung abdichtet. Deshalb treten nach minimalinvasiven Implantaten kaum Schmerzen und Schwellungen auf. Wegen des geringfügigen Eingriffs genügt immer eine nicht belastende lokale Anästhesie, auch bei sehr empfindlichen Patienten. Nach dem Eingriff gibt es daher keinerlei Einschränkungen, der Patient ist sofort wieder fit..
Typische Fälle für Sofortimplantate:
(solange genügend gesunder harter Knochen vorhanden ist (ca. 80% der Fälle). * unfallbedingter Verlust eines Zahnes. * Verlust eines Zahnes durch Spaltung der Wurzel (sehr häufig bei wurzelbehandelten Zähnen). * Sofortversorgung mit einem Zahnimplantat nach dem Zahnziehen an exakt der gleichen Stelle. * Schließen einer bestehenden Lücke mit einem Implantat statt einer Brücke. * sofortige Umkehr von der Prothese zum festsitzenden Zahnersatz. Die Prothese wandert in den Mülleimer. * sofortige stabile Fixierung einer vorhandenen oder neuen Prothese mit 4-6 Implantaten.
Alterszahnheilkunde
Sofortimplantate bzw. minimalinvasive Zahnimplantate eigenen sich hier besonders, da ältere Menschen oftmals viele Medikamente und auch Blutverdünner einnehmen müssen. Ältere Menschen sind weniger belastbar und wünschen sich eine unkomplizierte schonende Behandlungsmethode. Über Implantate freut sich selbst ein 90 jähriger - denn eins ist sicher: " Wenn man schon viele geliebte Tätigkeiten nicht ins Alter retten kann, e s s e n kann man immer bis zum Schluss, je komfortabler, desto besser. Dabei stört eine wackelige Prothese.
Zahnkronen aus Zirkon CAD CAM
Für die Versorgung von Implantaten gilt: besser Zahnersatz aus Zirkon wählen, damit kann gesunde nachhaltige Verträglichkeit erzielt werden. Zirkon ist äußerst zäh und stabil, so dass des in der Raumfahrt als Hitzeschild dient, und durch seine schöne zahnähnliche Farbe, gibt es keine unnatürlichen schwarzen Kronenränder mehr. Zirkon kennt es keine unangenehmen chemischen Wechselwirkungen mit Metallen im Mund, die oft von Heilpraktikern kritisiert werden. Zirkon wird vom Zahnfleisch besonders gut angenommen, leitet werder Wärme noch Kälte zu den empfindlichen Zahnnerven, es empfiehlt sich deshalb auch bei der Herstellung zahngetragener Kronen.
klicke Bilder unserer Zahnärztinnen und Zahnärzte
Klicken Sie auf die Bilder
rufen Sie jetzt gleich an - tägl. Mo-Fr 7.30 - 18h
Tel: +49 (0)89 431 12 12
Zahnärzte: Dr. Bernhard Junk, ZA.Richard Forster
ZÄ. Heayeon Lee, ZÄ. Johanna Egger
ZÄ. Dr. Indra Nyamaa,
privat und alle Kassen
Baumkirchner Str. 18
81673 München Berg am Laim Trudering
Zahnarzt@-Mail Termine nur mit Telefon Rückruf möglich
wir bitte um rechtzeitige telefonische Absage von Terminvereinbarungen damit wir die abgesagte Zeit für andere Patienten einplanen können. Danke
Schmerztermine am gleichen Tag
Zahnersatz-Reparaturen bitte bis 9.30 anmelden

Formular gleich ausfüllen ausdrucken und mitbringen spart Zeit.
mit allen Aufklärungsseiten Zahnarzt München
Minimalinvasives Schmerzarmes Zahnimplantat München
Zahnersatz - Ästhetische Zahnfüllungen
- Alterszahnheilkunde - Paradontologie -
Wurzelbehandlung
Wir zaubern schöne Zähne mit Hightech Zahnmedizin und Zahn - Labor Ausstattung - alles aus einer Hand
Der Zahnarzt am Marktplatz in Berg am Laim gut erreichbar auch aus Trudering, Waldtrudering und Bogenhausen.
Finden Sie in unserer Praxis was Sie nirgendwo sonst finden können.
Leistungsspektrum
Liebe Freunde gesunder Zähne besuchen Sie mit Ihrer Familie unsere frisch renovierte seit 50 Jahren alteingesessene Zahnarztpraxis 5 Zahnärzte und 4 Zahntechniker und 20 Mitarbeiter arbeiten bei Zahnarzt München in Berg am Laim und Trudering auf 400 m2. Alle Spezial Bereiche der Zahnmedizin ganzjährig täglich außer Wochenende Behandlungen auch zu Urlaubszeiten, Freitag Nachmittags und für Frühaufsteher schon ab 7.30. Wir kümmern uns von Anfang an, um alle Ihre Zahnprobleme und Ihre Zahngesundheit.
Eigenes Zahnarztpraxis Zahnlabor garantiert: Folgeservice für Ihren wertvollen Zahnersatz. Schnell-Prothesenreparatur: Zahnersatz-Reparaturen können fast immer innerhalb von Stunden durchgeführt werden.
Besser als Raten: modernes 3D Röntgen: gleich direkt in der Zahnarztpraxis.
Ästhetische metallfreie implantatgetragene High Tech Voll- Zirkonkronen:(weniger Abplatzungen).
individuelle Titanabutments: mit modernsten Zirkonfräsen selbst hergestellt für perfekte Anpassung der Implantatkronen an das Zahnfleisch.
Wir erhalten gerne Ihre gesunden Zähne, bei Zahnverlust sofortiger Ersatz der Zahnwurzel durch ein Sofortimplantation. Schmerzarm durch minimalinvasive Technik Vorteil: Minimalinvasive schmerzarme Zahnimplantat Operationen von Zahnarzt München benötigen oft keinen teuren Knochenaufbau.
Vorhersehbare Preise: Zahnimplantat(deutscher Hersteller) inklusive 3 D Röntgen (DVT)ab nur 1150 EUR jedes weitere sogarab nur 950 EUR.
Vor jeder Arbeit werden die genauen Kosten mitgeteilt.
Damit Ihre Zähne gar nicht erst defekt werden, reinigt ein fleißiges Prophylaxe Team Ihre Zähne mit sanftem Pulverstrahl und Polierbürste.
Auf Wunsch erfolgt Erinnerung durch Recallservice erhalten Sie Ihr Zahnfleisch gesund und schützten damit Ihre wertvollen Versorgungen, auch wenn diese anderswo erstellt wurden. Für alle Arten der Zahnbehandlung sind Zahnärzte und Spezialisten vor Ort. Alle Belange des Zahnes wie Vorsorge Reinigung Zahnfüllung Krone Extraktion und herausnehmbare Prothese bzw. minimalinvasives Zahnimplantat werden vor Ort in unseren Zahnarztpraxis Räumen in München durchgeführt. Ihr Ansprechpartner bleibt somit immer ausschließlich unsere Zahnarztpraxis.
Unser
Praxis Zahnlabor hält die modernsten Methoden für alles vor Ort bereit. Wir können daher
Zahnersatz sofort anzupassen zu reparieren oder reinigen. 3 Zahntechniker kümmern sich um Ihren Zahnersatz. Eingehende Beratung medizinisch aber auch bezüglich der Kosten ist selbstverständlich. Auf Grund des großen Arbeitsaufgebots können wir teilweise sehr ergonomisch arbeiten und deshalb in vielen Fällen preislich günstiger sein, somit sparen Sie nicht nur eine Menge Zeit sondern vielleicht auch Geld.- Es lohnt sich bei uns eine unverbindliche Zweitmeinung zu holen. Die Beratung erfolgt üblicherweise kostenlos
Lexikon Web - Seite
Ich hoffe vieler ihrer Fragen zum Thema Zahnarzt können hier schon vorab durch Multimedia Beiträge und Fallbeispiele beantwortet werden. In unserer Zahnarzt Sprechstunde in München erklären wir oft mit Inhalten dieser Homepage unsere zahnärztlichen Maßnahmen. Zu Hause können Sie jetzt nochmals nachschauen und besser Entscheidungen für Ihre Zähne treffen. Die Homepage von Zahnarzt München wird kritisiert dafür, dass Bilder aus der Zahnarztpraxis München viel zu realistisch sind. Bitte Klicken sie nicht wenn Sie realistische Bilder aus dem Mundbereich nicht ertragen können oder wollen. Ein realistisches Bild sagt aber mehr als 1000 schöne Logos. Wenn ich selbst einen Arzt suche, will ich am Liebsten so viel wie möglich über mein Problem und seine Lösung durch die Zahnmedizin wissen. Meine Patienten schätzen es, auch nach oder vor der Sprechstunde, nochmals die Info auf Zahnarzt München nachzuschauen. Manche mailen unter praxis@de-junk.de Fragen an den Autor die in den FAQ beantwortet werden. Dort lohnt es sich auch mal schon vorab nachzuschauen, ob nicht ein anderer schon ähnliche Zahnprobleme hatte. Erweitern Sie Ihr Zahn-Wissen besuchen Sie uns jetzt gleich schon virtuell - stellen Sie dazu Fragen zu Zahnersatz Alterszahnheilkunde Zahnverschönerungen Zahnfleischproblemen Zahnschmerzen direkt in der Sprechstunde. Klicken Sie in unser gut bebildertes Praxislexikon oben in der Navigationsbar mit Fallbeispielen aus der Zahnarztpraxis. - schmerzarm bezahlbar -

















